Big Halloween Sale Limited Time 70% Discount Offer - Ends in 0d 00h 00m 00s - Coupon code: 70special

ARDMS SPI Sonography Principles and Instrumentation Exam Practice Test

Page: 1 / 19
Total 187 questions

Sonography Principles and Instrumentation Questions and Answers

Testing Engine

  • Product Type: Testing Engine
$37.5  $124.99

PDF Study Guide

  • Product Type: PDF Study Guide
$33  $109.99
Question 1

Which technique averages individual frames together to improve the image?

Options:

A.

Coded excitation

B.

Compression

C.

Persistence

D.

Harmonic imaging

Question 2

Which factor determines elevational resolution?

Options:

A.

Beam depth

B.

Beam thickness

C.

Beam uniformity ratio

D.

Beam width

Question 3

What is the primary determining factor of the fundamental frequency for pulsed wave transducers?

Options:

A.

Element thickness

B.

Crystal diameter

C.

Transducer type

D.

Propagation speed

Question 4

How is the wavelength affected when switching from a 10 MHz transducer to a 5 MHz transducer?

Options:

A.

Halves

B.

Quarters

C.

Quadruples

D.

Doubles

Question 5

Decreasing which parameter will improve axial resolution?

Options:

A.

Frequency

B.

Bandwidth

C.

Pulse length

D.

Focal depth

Question 6

Which function should be decreased in order to minimize potential bioeffects?

Options:

A.

Dynamic Range

B.

Output power

C.

Depth

D.

Frequency

Question 7

Which settings will lead to the highest temporal resolution?

Options:

A.

45-degree sector width, 4 cm scan depth, color Doppler off

B.

60-degree sector width, 5 cm scan depth, color Doppler off

C.

45-degree sector width, 4 cm scan depth, color Doppler on

D.

60-degree sector width, 5 cm scan depth, color Doppler on

Question 8

What is required when interrogating higher blood velocities at angles closer to zero degrees?

Options:

A.

Increased Doppler wall filter settings

B.

Decreased Doppler wall filter settings

C.

Increased Doppler scale settings

D.

Decreased Doppler scale settings

Question 9

Which color Doppler control allows for reassignment of red and blue to represent flow direction?

Options:

A.

Color priority

B.

Color gain

C.

Color threshold

D.

Color invert

Question 10

In addition to velocity, which factor affects acoustic impedance?

Options:

A.

Penetration depth

B.

Attenuation coefficient

C.

Tissue density

D.

Transducer frequency

Question 11

Which spectral Doppler finding can occur when using a low pulse repetition frequency setting?

Options:

A.

Spectral broadening

B.

Range ambiguity

C.

Aliasing

D.

Dropout

Question 12

What is the result of increased transducer damping?

Options:

A.

Longer pulse length

B.

Increased sensitivity

C.

Narrow beam width

D.

Improved axial resolution

Question 13

What produces increased attenuation within soft tissue?

Options:

A.

Higher intensity of the ultrasound beam

B.

Higher frequency of the ultrasound beam

C.

Lower intensity of the ultrasound beam

D.

Lower frequency of the ultrasound beam

Question 14

Which change improves temporal resolution during color flow imaging?

Options:

A.

Increase field of view

B.

Decrease transmit frequency

C.

Decrease packet size

D.

Increase line density

Question 15

Which gray-scale artifact occurs when a structure attenuates less than the adjacent tissues?

Options:

A.

Enhancement

B.

Range ambiguity

C.

Refraction

D.

Shadowing

Question 16

Which settings would produce the best temporal resolution?

Options:

A.

More focal zones and shallower depth

B.

More focal zones and deeper depth

C.

Fewer focal zones and shallower depth

D.

Fewer focal zones and deeper depth

Question 17

What information does the ultrasound system calculate to display color flow?

Options:

A.

Peak Doppler frequency

B.

Mean Doppler frequency

C.

Peak velocity of flow

D.

Minimum velocity of flow

Question 18

How is variable transmit focus with a linear phased array accomplished?

Options:

A.

Mechanically rotate array elements

B.

Reshaping the matching layers

C.

Modifying the impedance of the acoustic lens

D.

Adjusting relative delay times of the array elements

Question 19

How can spectral Doppler cross talk be reduced?

Options:

A.

By decreasing the Doppler gain

B.

By increasing the Doppler pulse repetition frequency (PRF)

C.

By adjusting the Doppler baseline

D.

By decreasing the Doppler wall filter

Question 20

What device is used to determine axial resolution?

Options:

A.

Tissue-mimicking phantom

B.

Hydrophone

C.

Beam profiler

D.

Doppler phantom

Question 21

What is the relationship between overall gain and image brightness?

Options:

A.

The higher the overall gain, the brighter the image

B.

The lower the overall gain, the brighter the image

C.

The higher the overall gain, the darker the image

D.

There is no relationship between overall gain and image brightness

Question 22

What causes color flash artifact?

Options:

A.

Aliasing

B.

Tissue motion

C.

High velocity blood flow

D.

Strong reflector

Question 23

During 3-D volume acquisition, the quality of the images is most dependent upon which factor?

Options:

A.

Number of slices acquired

B.

Power output

C.

Rendering method utilized

D.

Speed of post-processing image compression

Question 24

What is effected by increasing the color scale?

Options:

A.

The Nyquist limit is increased

B.

More colors are displayed

C.

The color box width decreases

D.

The color priority decreases

Question 25

Which artifact causes a simple cyst to appear to contain debris?

Options:

A.

Refraction

B.

Enhancement

C.

Slice thickness

D.

Range ambiguity

Question 26

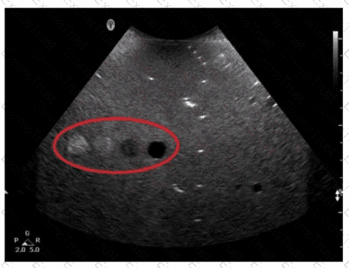
Which resolution can be evaluated in the area indicated by the red oval in this image of a tissue-equivalent phantom?

Options:

A.

Elevational

B.

Contrast

C.

Lateral

D.

Axial

Question 27

Which resolution capability is most affected by spatial pulse length?

Options:

A.

Elevational

B.

Temporal

C.

Lateral

D.

Axial

Question 28

Which pulsed-wave Doppler adjustment would be appropriate to correct the aliasing seen in this image?

Options:

A.

Increase the spectral Doppler gain.

B.

Decrease the spectral Doppler gain.

C.

Increase the Doppler pulse repetition frequency.

D.

Decrease the Doppler pulse repetition frequency.

Question 29

What is the effect of increasing the sample volume on the spectral Doppler signal tracing?

Options:

A.

Decreased sweep speed

B.

Increased noise

C.

Increased velocity sensitivity

D.

Decreased aliasing

Question 30

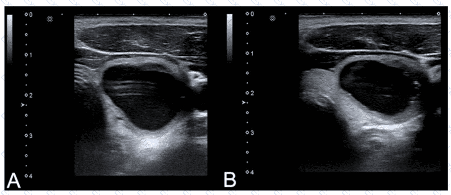
Which adjustment resulted in the change from image A to image B?

Options:

A.

Increased transmit frequency

B.

Increased scale

C.

Decreased color gain

D.

Decreased acoustic power

Question 31

Which pulsed-wave Doppler adjustment would be appropriate to correct the aliasing seen in this image?

Options:

A.

Increase the spectral Doppler gain.

B.

Decrease the spectral Doppler gain.

C.

Increase the Doppler pulse repetition frequency.

D.

Decrease the Doppler pulse repetition frequency.

Question 32

Which resolution is improved by focusing?

Options:

A.

Lateral

B.

Axial

C.

Temporal

D.

Contrast

Question 33

What method can be used to resolve aliasing artifact?

Options:

A.

Adjusting the output power

B.

Using a higher frequency transducer

C.

Decreasing the pulse repetition frequency

D.

Using continuous wave Doppler ultrasound

Question 34

Which adjustment resolves spectral Doppler aliasing?

Options:

A.

Increase time gain compensation

B.

Increase sweep speed

C.

Decrease transducer frequency

D.

Decrease velocity scale

Question 35

Which technique averages image frames over time to reduce noise?

Options:

A.

Demodulation

B.

Persistence

C.

Compression

D.

Time gain compensation

Question 36

What causes increased echogenicity distal to an anechoic structure?

Options:

A.

Reduced penetration through the structure

B.

Increased attenuation within the structure

C.

Increased attenuation distal to the structure

D.

Reduced attenuation through the structure

Question 37

What is the function of M-mode?

Options:

A.

Create 3D images

B.

Visualize internal organs

C.

Monitor blood flow

D.

Measure movement

Question 38

Which factor will improve axial resolution?

Options:

A.

Increasing the focal zone

B.

Reducing the number of cycles per pulse

C.

Changing the gray-scale map

D.

Decreasing the frame rate

Question 39

What is the term for an ultrasound system's ability to display low-level echoes?

Options:

A.

Slice thickness

B.

Axial resolution

C.

Sensitivity

D.

Lateral resolution

Question 40

What is the term for the change in direction of a sound wave crossing a tissue boundary at an oblique angle?

Options:

A.

Reflection

B.

Absorption

C.

Refraction

D.

Attenuation

Question 41

Which artifact is caused by defects in the crystals of the transducer?

Options:

A.

Mirror image

B.

Ringdown

C.

Side lobe

D.

Dropout

Question 42

What is the result of increasing the wall filter setting during Doppler sampling?

Options:

A.

Diminished aliasing

B.

Decreased bandwidth

C.

Creation of spectral broadening

D.

Reduced display of low-frequency shifts

Question 43

During a color Doppler scan, which angle to flow would most likely result in no color being visualized?

Options:

A.

3 degrees

B.

45 degreesC 88 degrees

C.

175 degrees

Question 44

If the pulse repetition frequency is 3 kHz, what is the maximum Doppler shift that can be detected without aliasing?

Options:

A.

1.5 kHz

B.

3.0 kHz

C.

6.0 kHz

D.

9.0 kHz

Question 45

What does damping in a pulsed-wave transducer affect?

Options:

A.

Pulse duration

B.

Pulse repetition frequency

C.

Beam focus

D.

Beam penetration

Question 46

Which function is the purpose of the matching layer?

Options:

A.

Convert acoustic to electrical energy

B.

Allow sequential firing of elements

C.

Reduce ringing of the crystals

D.

Increase sound transmission

Question 47

Which action is the first step for the removal of visible contaminants from the transducer?

Options:

A.

Disinfect

B.

Sterilize

C.

Clean

D.

Pasteurize

Question 48

In this image, what does the data below the baseline represent?

Options:

A.

Blood flow directed towards the transducer

B.

Aliasing and retrograde blood flow

C.

Wall filter setting too high

D.

Mirror image artifact

Question 49

What is the most effective way to reduce aliasing on color Doppler?

Options:

A.

Increase pulse repetition frequency (PRF)

B.

Decrease pulse repetition frequency (PRF)

C.

Increase wall filter

D.

Decrease wall filter

Question 50

Which target group in this image of a tissue-mimicking phantom is used to evaluate axial resolution?

Options:

A.

Option A

B.

Option B

C.

Option C

D.

Option D

Question 51

What is a potential negative consequence of using a high wall filter?

Options:

A.

Desired signal may be eliminated

B.

Aliasing could occur

C.

Penetration is reduced

D.

Too much noise may appear on the image

Question 52

Which setting improves temporal resolution?

Options:

A.

Wide sector size

B.

Increased depth

C.

Multiple focal zones

D.

Low line density

Question 53

Which adjustment will reduce the artifact in the cystic lesion in image A resulting in image B?

Options:

A.

Turn off harmonics

B.

Increase dynamic range

C.

Turn on edge enhancement

Question 54

Which parameters determine the propagation speed of sound in a medium?

Options:

A.

Frequency and impedance

B.

Amplitude and impedance

C.

Intensity and density

D.

Elasticity and density

Question 55

What is true regarding the display for color Doppler?

Options:

A.

A positive shift is always above the baseline

B.

A positive shift is always red

C.

A negative shift is always venous flow

D.

A negative shift always requires using a lower wall filter

Question 56

What parameter change reduces spectral Doppler aliasing?

Options:

A.

Increase Doppler angle

B.

Change color scale

C.

Decrease pulse repetition frequency

D.

Utilize m-mode

Page: 1 / 19
Total 187 questions